Trombose ou oclusão da veia central da retina pode levar a baixa visual severa rapidamente e a doença precisa ser diagnosticada e tratada com o objetivo de reduzir possíveis danos e minimizar sequelas. Edema macular, hemorragias retinianas e sangramento em cavidade vitrea, bem como Glaucoma são possíveis problemas que podemos nos deparar durante a evoluçao clínica.
Quanto antes for identificado o problema, melhor será o nosso arsenal terapêutico e maior será a chance de sucesso.
Sempre é bom consultar um oftalmologista e realizar Mapeamento de Retina para identificar possíveis agravos, aconselha o cirurgião em Retina Prof. Dr. Antônio Bruno Vieira Nepomuceno, Ph.D.
Acesse: www.ClinicaGomesdeMatos.com.br (85) 3025 7924 (85) 99718. 8265
domingo, 12 de maio de 2019
domingo, 5 de maio de 2019
Uveítes
Uveíte cursa com vermelhidão ocular, irritação, visão turva e que pode chegar a grave perda da visão se não for diagnosticada a tempo. Quando acomete crianças mais novas, a atenção dos pais deve ser maior, sobretudo para sinais sutis como coçar os olhos e vermelhidão leve em ambos ou, apenas, um dos olhos.
O médico pode mais facilmente identificar se estar diante de um caso de alergia ocular, conjuntivite viral ou uma uveíte infecciosa que precisam ser investigadas e tratadas.
As uveítes tem diferentes apresentações sejam elas granulomatosas ou não-granulomatosas, podendo ter um curso agudo, crônico e recorrente. A uveíte pode ser anterior, intermediária, posterior ou pode acometer todo o globo (pan-uveíte).
Os exames laboratoriais e radiográficos devem ser pedidos após os achados clínicos e exame ocular e físico direcionados para os diversos diagnósticos diferenciais, ressalta o Dr. Antônio Brunno, Ph.D.
www.ClinicaGomesdeMatos.com.br (85) 3025 7924 (85) 99718. 8265
quarta-feira, 1 de maio de 2019
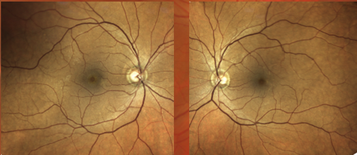
Retinografia Retina
Retinografia Colorida e OCT de Mácula têm alta resolução para doenças na retina de diabéticos e pacientes com Degeneração Macular Relacionada à Idade (DMRI), Glaucoma, Buraco de Mácula, Descolamento de Retina, Membranas Neovasculares sub-retinianas, Edema Macular, Derrame ou Hemorragias que afetem o olho.
A Angiografia Fluorescente e OCT de Mácula ou OCT do disco óptico, Tomografia de Coerência Óptica e ultrassom ocular são exames que, além do mapeamento de retina, fornecem recursos para investigação diagnóstica e tratamento adequado.
O especialista de retina analisa riscos da doença progredir e, assim, podemos fazer a intervenção a laser ou mesmo o tratamento clínico oportuno, evitando muitas vezes a cirurgia da retina.
Acesse: www.ClinicaGomesdeMatos.com.br (85) 3025 7924 (85) 99718. 8265
Assinar:
Comentários (Atom)


